80 YEAR OLD MALE WITH SOB AND COUGH

This is an online E log book to discuss our patient's de-identified health data shared after taking his/her/guardian's signed informed consent.  Here, we discuss our individual patient's problems through series of inputs from available global online community of experts with an aim to solve those patient's clinical problems with collective current best evidence based inputs.
 
80 YEAR OLD MALE resident of pochampally came with c/o
     . Shortness of breath since 4 days
     . Cough since 4 days

HOPI

         Patient was apparently asymptomatic 4 years back then he developed chest pain which radiated to the left arm for which he went to the hospital and after investigations diagnosed with  anterior wall myocardial infraction and right bundle branch block on ecg for which he underwent percutaneous transluminal coronary angioplasty in 2017.        And is on medications T.ecospirin AV   (70/20 )PO/OD  and T.met -XL 25 mg.

- He complains of loss of appetite and weight loss since 4 months
 -Generalised weakness since 3months
- burning micturation with increased frequency of 10-15times in night since 3months 
 -  Since 4 days he developed shortness of breath which is initially of grade 3 and progressed to grade 4 since last night associated with orthopnea and 
  -cough associated with sputum since 4 days and chills and rigors are present. 
 -Blood tinged sputum since 2days. And pedal edema since 1week.

PAST HISTORY :
   No history of similar complaints in the past
  History of cataract surgery B/L 6 months back
  History of coronary artery disease in 2017 underwent PTCA .

PERSONAL HISTORY
Patient is vegetarian
Appetite - lost
Bowel and bladder movements - irregular 
Micturition- abnormal
  -He was alcoholic from 25 years (90ml/day)and stopped after undergoing PTCA.
  -He had a habit of smoking since 25years and stopped after ptca

GENERAL EXAMINATION

Patient is conscious , coherent , cooperative 
Pallor present

No icterus , cyanosis, clubbing, lymphadenopathy.
Pedal edema non pitting type

Vitals :
Temperature-  afebrile
Pulse rate- 102bpm
Respiratory rate- 30cpm
Bp- 180/100mmHg
GRBS- 250mg/ dl

SYSTEMIC EXAMINATION

CVS- S1 ,S2 heard 
        No murmurs
RS -bilateral air entry +  , bilateral diffuse                   crepts heard in all areas.
PER ABDOMEN- soft and non- tender
CNS -NO abnormalities detected 


PROVISIONAL DIAGNOSIS

Community acquired pneumonia with cystitis with denovo DM2 with benign prostatic hyperplasia with CAD S/P PTCA.

INVESTIGATIONS

HEMOGRAM
Hb- 10.9%gm/dl
TLC- 1200cells/ cumm
Neutrophils- 84%
Lymphocytes- 8%
Esonophils- 2%
Monocytes- 6%
Basophils-0%
RBC- 3.69million/ cumm
Platelet count - 2.20lakhs/ cu.mm

LIVER FUNCTION TEST:

Total bilirubin- 1.65mg/dl
Direct bilirubin- 0.46mg/dl
AST- 89IU/L
ALT- 15IU/L
Alkaline phosphatase- 890IU/L
Total proteins- 6.5gm/dl
ALBUMIN- 3.4gm/dl

RENAL FUNCTION TEST:

Creatinine- 0.7mg/dl
Urea- 23mg/dl
Ca+2 - 9.4mg/dl
UA- 2.7mg/dl
Phosphorus- 3.1mg/dl
Na+ : 132mEq/l
K+ :3.3mEq/l
Cl-  : 86mEq/l

ABG:

Ph:7.40
PCO2 :24.7mmHg
PO2: 64.5mmHg
HCO3- : 17.9mmol/l
CHCO3 : 15.2mmol/l

LIPID PROFILE:

Cholesterol- 153mg/dl
HDL-36mg/dl
LDL-99mg/dl
VLDL- 11mg/dl
Ecg


TREATMENT:
Inj- Augmentin 1.2gm IV/ BD
Tab. Nicardia 20mg PO/ stat
Tab. Lasix 40mg PO/BD
Tab. Ecospirin AV (75/20) PO/DO
Tab. Met- XL 25mg PO/OD
Syrup - Ascoril -D 15ml PO/TID
NEB with budecort - 12th hourly , ipravent and Duolingo -6th hourly.
Inj- actrapid s/c acc to sliding scale
BIPAP INTERMITTENTLY
BP monitoring 2nd hourly
Tab.Azithromycin- 500mg PO/OD
Inj. Hydrocortisone 100mg
Inj . Deriphyline 2cc IV /stat
Inj . Tramadol 100ml NSIV / OD

Day 1
S :cough  with sputum since 4days
     Shortness of breath since 4 days

O/E:
    Pt is conscious,coherent,cooperative 
No fever spikes since admission 

Vitals :
Temperature-  afebrile
Pulse rate- 100bpm
Respiratory rate- 27cpm
Bp- 80/60mmHg
GRBS- 181mg/ dl
 
SYSTEMIC EXAMINATION

CVS- S1 ,S2 heard 
        No murmurs
RS -bilateral air entry +  , bilateral diffuse                   crepts heard in all areas.
PER ABDOMEN- soft and non- tender
CNS -NO abnormalities detected 

Treatment 
Inj- Augmentin 1.2gm IV/ BD
Tab. Ecospirin AV (75/20) PO/DO
 
Day 2

S - cough with sputum production, cold, sob decreased a bit compared to yesterday, one fever spike present yesterday at 6pm

O- Pt conscious, coherent, oriented to time place person
Temp -99f
Bp- 100/70mmhg
PR- 100bpm
RR- 22cpm
Spo2- 96% with 10lit o2

Grbs-111mg/dl

Systemic Examination 
Rs - bae +, b/l inspiratory crepts + at scapular, infrascapular region
Cvs- s1s2+
P/a - soft, non tender, bs+
Cns - no focal neurological defecit 

Provisional Diagnosis 
? Community accquired pneumonia
? Pulmonary kochs 
H/o Coronary artery disease ( post ptca 2017)
Denovo t2dm
Grade 1 prostatomegaly


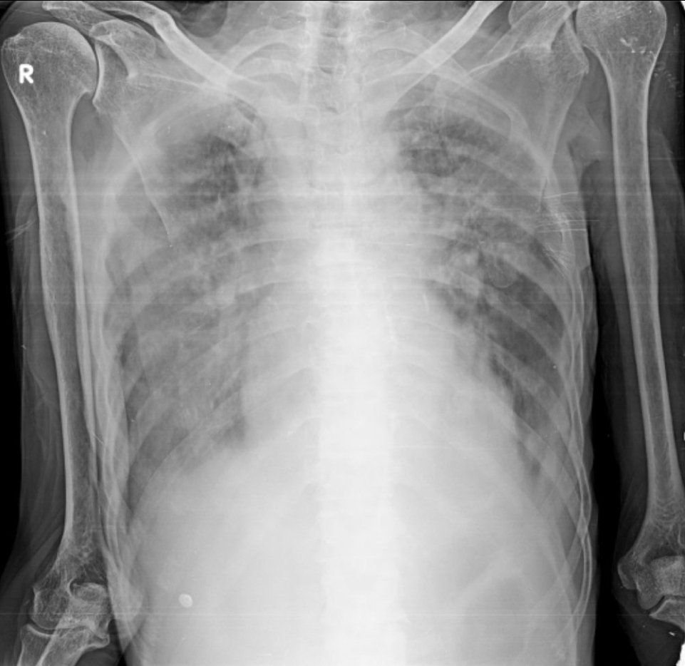
Xray
Treatment ;

Inj Augmentin 1.2gm iv bd
Tab azithromycin 500mg po od 
Neb with ipravent 6th hrly, budecort8th hrly, mucomist 8th hrly
Syp ascoril 10ml po tid
Tab ecospirin av (75/20) po hs
Tab metxl 25mg po od
Inj hai SC tid after informing grbs
Ivf 1NS 1RL @ 50ml/hr



  













Popular posts from this blog

Medicine blended assignment

30YR OLD MALE WITH VOMITINGS AND B/L LOWER LIMB SWELLING, PAIN ,TINGLING OF ALL 4 LIMBS